O bruxismo em adultos vai muito além do simples ranger dos dentes durante o sono.
Quando não diagnosticado e tratado corretamente, ele pode provocar desgaste acelerado dos dentes, alterações na mordida e mudanças visíveis na estética facial, comprometendo a harmonia do sorriso e a aparência do rosto ao longo do tempo.
Em muitos casos, o problema evolui de forma silenciosa, especialmente em pessoas com rotinas intensas, altos níveis de estresse e mais de 40 anos — justamente quando a preservação da estética, da função mastigatória e da longevidade do sorriso se torna ainda mais importante.
Neste conteúdo, você vai entender o que é o bruxismo em adultos, por que ele pode envelhecer o sorriso e a face, quais são os principais sinais de alerta e como o tratamento correto pode proteger não apenas os dentes, mas toda a estética facial, com previsibilidade e sofisticação.
O que é bruxismo em adultos
Bruxismo em adultos é a contração involuntária dos músculos da mastigação que leva ao apertamento ou ranger dos dentes, principalmente durante o sono, mas também ao longo do dia.
Com o passar do tempo, essa força excessiva pode comprometer dentes, articulações, músculos faciais e a estética do sorriso.

Diferente do que muitos imaginam, o bruxismo não é apenas um hábito inconsciente, nem algo restrito à infância. Em adultos, ele costuma estar associado a fatores como:
- Estresse crônico e pressão emocional
- Ansiedade e alterações do sono
- Envelhecimento funcional do sistema mastigatório
- Sobrecarga da mordida ao longo da vida
- Uso de medicamentos ou distúrbios neurológicos específicos
O grande problema é que, na fase adulta, o bruxismo tende a ser mais silencioso e progressivo. Muitos pacientes só percebem quando os efeitos já estão instalados — dentes mais curtos, sensibilidade, dores faciais ou alterações no formato do rosto.
Bruxismo do sono x bruxismo em vigília
Do ponto de vista clínico, o bruxismo pode se manifestar de duas formas principais:
- Bruxismo do sono: ocorre durante o descanso, geralmente associado a microdespertares e tensão muscular intensa, sem que o paciente perceba.
- Bruxismo em vigília: acontece ao longo do dia, muitas vezes ligado a concentração excessiva, tensão emocional ou hábitos posturais inadequados.
Ambos exercem forças muito superiores às da mastigação normal, o que explica por que o desgaste dentário pode ser tão rápido e agressivo em alguns adultos.
Por que o bruxismo merece atenção especial após os 40 anos
A partir dos 40 anos, os dentes já passaram por décadas de uso funcional. Quando o bruxismo se instala — ou se intensifica — nessa fase, ele pode:
- Acelerar o desgaste natural do esmalte
- Comprometer restaurações, coroas e tratamentos estéticos
- Alterar a mordida e a altura dos dentes
- Iniciar mudanças visíveis na estética facial
Por isso, o diagnóstico precoce e a abordagem correta são essenciais para preservar não apenas os dentes, mas a harmonia do sorriso e do rosto ao longo do tempo.
Por que o bruxismo desgasta os dentes
O bruxismo desgasta os dentes porque exerce forças repetitivas e excessivas, muito superiores às da mastigação normal, levando à perda progressiva do esmalte dentário.
Com o tempo, esse desgaste altera o formato, o tamanho e a função dos dentes, comprometendo o sorriso e a mordida.

Durante o bruxismo, os dentes não apenas se encostam — eles deslizam, rangem e recebem pressão contínua, sem os intervalos naturais de descanso que ocorrem durante a mastigação. Isso explica por que o dano pode ser tão severo, mesmo em pacientes com boa higiene bucal.
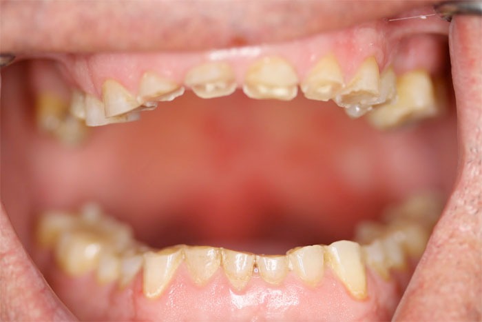
O que acontece com os dentes ao longo do tempo
Quando o bruxismo não é tratado, o desgaste costuma seguir um padrão progressivo:
- Perda do esmalte, a camada mais resistente do dente
- Exposição da dentina, causando sensibilidade ao frio, calor e alimentos ácidos
- Encurtamento visível dos dentes, deixando o sorriso menos harmônico
- Bordas irregulares e aspecto “achatado” dos dentes
- Aumento do risco de trincas e fraturas dentárias
Em pacientes adultos, esse processo pode evoluir de forma silenciosa, sendo percebido apenas quando o sorriso já apresenta sinais claros de envelhecimento.
Bruxismo e tratamentos estéticos: um risco silencioso
Outro ponto crítico é que o bruxismo não afeta apenas dentes naturais. Ele pode comprometer diretamente:
- Lentes de contato dental
- Coroas e próteses
- Restaurações estéticas
- Implantes mal protegidos do ponto de vista oclusal
Sem um controle adequado do bruxismo, até tratamentos estéticos bem executados podem ter sua durabilidade reduzida — algo inaceitável para pacientes que buscam excelência, discrição e resultados duradouros.
Quando o desgaste deixa de ser apenas estético
Além da aparência, o desgaste causado pelo bruxismo pode provocar:
- Alterações na mordida
- Sobrecarga da articulação temporomandibular (ATM)
- Dores musculares faciais e cefaleias frequentes
- Perda da chamada dimensão vertical, essencial para a harmonia facial
Esse é o ponto em que o problema deixa de ser apenas dentário e passa a impactar todo o equilíbrio funcional e estético do rosto — tema que aprofunda naturalmente o próximo tópico.
Sinais de alerta no sorriso e no rosto
Os sinais do bruxismo nem sempre aparecem como dor imediata; muitas vezes, eles surgem de forma sutil no sorriso, no rosto e na expressão facial.
Reconhecer esses alertas precocemente é essencial para evitar danos estéticos e funcionais mais complexos.
Em adultos, especialmente a partir dos 40 anos, o organismo tende a se adaptar ao desconforto. Por isso, muitos pacientes convivem com o bruxismo por anos sem perceber que ele já está comprometendo sua estética.
Sinais mais comuns no sorriso
Observe se você apresenta um ou mais destes sinais:
- Dentes visivelmente mais curtos ou achatados
- Bordas dentárias irregulares ou “retas demais”
- Sensibilidade ao frio, calor ou alimentos ácidos
- Pequenas trincas ou lascas nos dentes
- Quebra recorrente de restaurações ou coroas
- Sensação de que o sorriso “envelheceu”
Essas alterações indicam que o esmalte já foi comprometido e que o desgaste está em evolução.
Sinais no rosto e na musculatura
Além dos dentes, o bruxismo costuma se manifestar no rosto por meio de:
- Dor ou cansaço na mandíbula ao acordar
- Sensação de peso ou tensão facial ao longo do dia
- Aumento do volume na região do maxilar
- Assimetria facial progressiva
- Cefaleias frequentes, principalmente pela manhã
Em muitos casos, o paciente nota que o rosto parece mais rígido, largo ou cansado, mesmo mantendo cuidados com a pele e estética facial.
Quando o corpo tenta avisar
Outro sinal clássico é o apertamento inconsciente dos dentes durante o dia, especialmente em momentos de concentração, estresse ou tomada de decisões importantes. Esse comportamento reforça a sobrecarga muscular e acelera o desgaste dentário.
Quando esses sinais aparecem, o bruxismo já deixou de ser apenas um hábito e passou a ser um fator de impacto direto na estética, no conforto e na longevidade do sorriso.
Como tratar o bruxismo corretamente
O tratamento do bruxismo em adultos deve ir além de proteger os dentes: ele precisa preservar a função, a estética do sorriso e o equilíbrio facial.
Por isso, soluções genéricas ou paliativas tendem a falhar no médio e longo prazo.
O bruxismo é uma condição multifatorial. Tratar apenas o sintoma — como o ranger noturno — sem analisar a mordida, o desgaste dentário e a musculatura facial pode comprometer a previsibilidade dos resultados.
Placa oclusal: proteção com precisão
A placa oclusal é um dos pilares do tratamento, mas nem toda placa é igual. Em adultos, especialmente aqueles com desgaste avançado ou tratamentos estéticos prévios, ela precisa ser:
- Personalizada com alta precisão
- Ajustada à mordida e à musculatura do paciente
- Capaz de reduzir a sobrecarga dentária e muscular
- Confortável para uso contínuo
Quando bem indicada e corretamente ajustada, a placa protege os dentes, reduz dores e evita a progressão do desgaste.
Avaliação da mordida e reequilíbrio funcional
Em muitos casos, o bruxismo está associado a desequilíbrios na mordida que aumentam a sobrecarga em determinados dentes e músculos. Nesses casos, pode ser necessário:
- Ajustes oclusais cuidadosos
- Reorganização da mordida com planejamento digital
- Reabilitação funcional de dentes desgastados
Esse processo deve ser conduzido com extremo critério, especialmente em pacientes que valorizam naturalidade e discrição estética.
Quando o tratamento também é estético
Quando o bruxismo já causou desgaste significativo, o tratamento pode envolver a reconstrução do sorriso, sempre com foco funcional. Isso inclui:
- Recuperação da altura dos dentes
- Restabelecimento da dimensão vertical
- Harmonia entre dentes, lábios e face
- Preservação da aparência natural
Aqui, estética e função caminham juntas. Um sorriso bonito, mas funcionalmente incorreto, tende a falhar com o tempo.
Abordagem integrada: o diferencial real
O tratamento correto do bruxismo em adultos exige uma visão integrada, que considere:
- Dentes
- Músculos
- Articulação temporomandibular
- Estética do sorriso
- Estrutura facial
Essa abordagem é o que garante longevidade, conforto e elegância no resultado, evitando retrabalhos e intervenções desnecessárias no futuro.
Perguntas frequentes sobre bruxismo em adultos (FAQ)
Bruxismo tem cura?
O bruxismo não tem uma “cura única”, mas pode ser controlado com precisão quando diagnosticado corretamente. Com acompanhamento profissional, é possível proteger os dentes, aliviar sintomas e evitar a progressão dos danos estéticos e funcionais.
Bruxismo sempre causa dor?
Não. Muitos adultos com bruxismo não sentem dor, especialmente no início. O problema pode evoluir silenciosamente, causando desgaste dentário e alterações faciais antes de qualquer desconforto evidente.
Bruxismo pode prejudicar lentes de contato dental e coroas?
Sim. O bruxismo exerce forças intensas que podem reduzir a durabilidade de lentes, coroas, próteses e restaurações, caso não haja controle adequado da mordida e proteção dentária personalizada.
Placa para bruxismo resolve o problema sozinha?
A placa oclusal é fundamental, mas não deve ser a única abordagem. Em muitos casos, é necessário avaliar mordida, desgaste dentário, musculatura e estética facial para garantir um resultado duradouro e previsível.
Bruxismo pode alterar o formato do rosto?
Pode, sim. O desgaste dos dentes e a sobrecarga muscular podem levar à perda de suporte facial, hipertrofia dos músculos da mastigação e envelhecimento precoce da face, especialmente em adultos acima dos 40 anos.
Conclusão: cuidar do bruxismo é preservar o sorriso e a face
O bruxismo em adultos não deve ser tratado como um detalhe ou um simples hábito noturno.
Quando ignorado, ele pode comprometer dentes, tratamentos estéticos, harmonia facial e a aparência ao longo dos anos, muitas vezes de forma silenciosa.
A boa notícia é que, com uma abordagem correta, integrada e personalizada, é possível proteger o sorriso, preservar a estética facial e garantir longevidade funcional, sem soluções improvisadas ou retrabalhos futuros.
Se você percebe sinais de desgaste, mudanças no sorriso ou no formato do rosto, uma avaliação especializada pode fazer toda a diferença — especialmente quando conduzida em um ambiente preparado para oferecer precisão, tecnologia e previsibilidade em cada etapa do cuidado.

